听信“吃西瓜籽长西瓜”谎言 女童为生硬币吞硬币

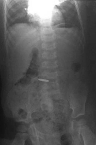
X光片显示:一幼儿的消化道内,有一个一元硬币大小物体(圈内)。图片来自微博
温州网讯昨天,一条关于“吃西瓜籽会长西瓜?于是孩子吞食硬币”的微博成为网友讨论的热点。发布该微博的网友“kindness先生”称,吞食硬币的孩子是她闺蜜的女儿,家住平阳县城,因涉及隐私,不愿透露闺蜜相关信息。
记者先后联系平阳县城的两家医院,均无与“吃西瓜籽会长西瓜,于是孩子吞食硬币”相关的病人。但不容忽视的是:幼儿误食硬币事件在我们身边确实时有发生。
网传孩子“因谎言吞硬币”
吃西瓜籽会长西瓜——这句话很多人小时候可能都听过。
昨天,网友“kindness先生”发微博称,一个孩子听大人说,西瓜籽吃进肚子里,会长出西瓜,她居然把硬币吞进肚子里了。理由是说自己零花钱太少。这位网友提议:家长应要用正确的方法教孩子。
该微博还发布了孩子的X光片。光片显示:一幼儿的消化道内,有一个一元硬币大小物体。
发布该微博的网友自称姓陈,是苍南宜山人。据陈女士介绍,吞食硬币的女童正在上幼儿园大班,是她闺蜜的女儿,现住平阳县城。几天前,这对母女吃西瓜时,母亲对女儿说,西瓜籽不能吃,吃了肚子里会长西瓜。没有想到,昨天早上,女童却把硬币吞食了。
“母女俩去医院检查,发现硬币已进消化道,医生建议回家观察,多吃韭菜,观察两天若不能排出,再作打算。”陈女士说。
“这事发生后,闺蜜曾在微信上发布了该消息,后因受到网友批评,闺蜜删除了微信。”
微博内容成热点
闺蜜删除微信,陈女士却将该信息发到了微博上。
该微博发布后,成为了某知名微博的温州每日热点播报,并引起了网友的关注和调侃。网友“当小乔爱上郭嘉”说:“聪明的孩子,这么小就懂得‘触类旁通’了!”还有网友说:“这样的谎言,小时候我也听说过,还好老师给我说了事实真相,否则我也吃硬币了!”
也有网友认为,家长的初衷是想告诉孩子,西瓜籽不能吃,但孩子的想法“天马行空”,善意的谎言有时也不能乱讲。
医生:幼儿吞食硬币事件时有发生
因涉及隐私,陈女士不愿透露太多关于闺蜜及其女儿有关信息,包括就诊医院。
昨晚,记者先后致电平阳县城两家医院——平阳县人民医院及昆阳卫生院,院方均称,未接到与“吃西瓜籽会长西瓜,于是孩子吞食硬币”相关的病人。
然而,在采访过程中,记者却发现一个不容忽视的问题:误食硬币的幼儿并不少见。附二医急诊科的一位医生说,每个月都会接诊吞食硬币的幼儿,这些孩子多在2-4岁,多因家长把硬币给孩子当玩具或乱扔硬币,造成孩子误食。
孩子误食硬币,家长该怎么办?医生建议,立即送医院,查明硬币所处位置以便妥善治疗。
针对“吃西瓜籽会长西瓜,于是孩子吞食硬币”的传闻,温州大学教师教育学院副教授周奇说,吃西瓜籽会长西瓜是句玩笑话,若传闻是真的,孩子吞食硬币显然与这句玩笑话有关。
周奇说,事关孩子认知教育,家长尽量不要开玩笑或说假话。因为,孩子在10岁前,父母是孩子的偶像,一言一行都会被孩子模仿。记者郭进









